top of page

Микрочипиране и регистрация

  • Sep 9, 2023
  • 2 min read

Updated: Sep 17, 2023



Законови изисквания. Според изискванията на Директива 998/2003 г. на Европейския съюз всички домашни любимци подлежат на задължителна идентификация чрез поставяне на електронен микрочип.


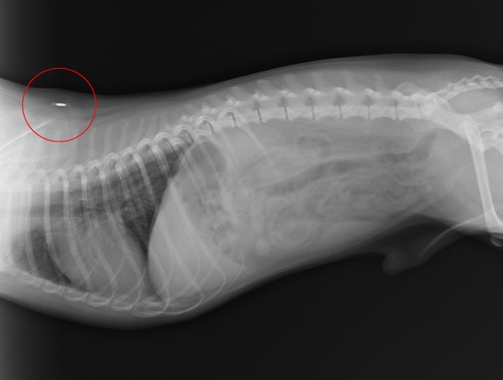
Микрочипът е миниатюрен имплант, затворен с капсула от специален биосъвместим материал, напълно безвреден за Вашия любимец. Размерът му е колкото оризово зрънце. Всеки чип съдържа уникален идентификационен номер, който не може да бъде променян.


Имплантирането става подкожно чрез специална спринцовка с игла, в която е разположен чипът. Манипулацията е напълно безболезнена за домашния любимец. Веднъж имплантиран, микрочипът остава под кожата до края на живота. За повечето страни от ЕС мястото на имплантиране е отляво на шията.


Разчитане. Номерът на микрочипа може да бъде разчетен с електронно четящо устройство. Прочитането на импланта става след доближаване на четеца в близост до животното. При микрочипирани животни на дисплея на четеца се изписва комбинацията от цифри, която се съдържа в чипа.



Регистрация

  • В БАБХ. Идентификационният номер се въвежда задължително в националната база данни на БАБХ. В базата данни се вписват името на животното, порода, рождена дата, трите имена на собственика, адрес, ЕГН и контакти.

  • Паспорт. Одобреният модел пасопрт се придържа към европейския модел на паспорт и е задължителен за всички домашни любимци от 01.01.2007 г. В търговската мрежа се разпространяват здравни книжки, в които могат да бъдат записвани и проследявани ваксините на животното. С тях не може да се пътува и те не могат да бъдат регистирирани като паспорт. Паспортът се попълва и издава само и единствено от ветеринарен лекар.

  • Община. Регистрацията в общината е задължителна. Всички стопани на животни подлежат на данъчно облагане. Освободени от данък са кастрираните кучета, а също така и ловните, кучетата на инвалиди и служебните животни в структурите на институциите.


Проследяване. Микрочипът не може да бъде проследен при изгубено животно, защото не излъчва никакви сигнали. За да бъде намерено и върнато на собствениците си едно изгубено куче, трябва да бъдат изпълнени следните условия:

  • Кучето да има миркочип;

  • Микрочипът да бъде регистриран в единната система на БАБХ;

  • Кучето да бъде намерено и отведено при ветеринарен лекар, където, чрез специален четец, чипът му да бъде прочетен;

  • Номерът на микрочипа да бъде проверен в системата на БАБХ, където да излязат данните на собственика (три имена, ЕГН, телефонен номер).


Опасен ли е микрочипът? Микрочипът е абсолютно безвреден за животното. Той не излъчва сигнали или вълни, а отразява записаната информация (номер). Изработен е от материали, които се прилагат от години в хуманната медицина.

 
 

©2026 by Vitosha Vet.

bottom of page